米兰官方网页版

融合产品

规格编码:NNBD/40D/


注册证名称:医用纳米羟基磷灰石/聚酰胺66复合骨充填材料
注册证号:国械注准20183131720

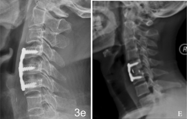
临床优势

Product Introduction

1.优异的生物相容性和生物活性

2.力学性能与自体骨匹配

3.弹性模量接近自体骨,有效减少应力遮挡

4.符合上下终版的解剖学特点

适应症

Indication

● 腰椎盘突出
● 椎管狭窄
产品介绍

Product introduction

相关产品

Related Products

四川省成都市双流区空港四路3666号

电话:028-85189391 传真:028-85189391 028-85187573

网址:gaeframework.com             邮编:610041

备案号:

互联网药品医疗器械信息服务备案编号:川网药信备字(2025)00316号
本网站未发布麻醉药品、精神药品、医疗用毒性药品、放射性药品、戒毒药品和医疗机构制剂的产品信息

创 新 医 用 生 物 材 料